Table of Contents
2 Excellent Home Remedies for How to Fix Receding Gums
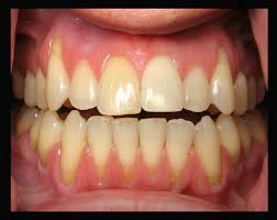
Many of us are suffering from Receding Gums. How to Fix Receding Gums at Home. The problem of Receding Gums normally happens when the gum tissue wears away from the teeth causing it to expose it to the roots. Since the tooth becomes more visible they often loose their protective sheath and thus become sensitive and at times painful. The Receding Gums are usually caused due to the tooth diseases like Gingivitis or Periodontal problems. There are few home available remedies to treat such conditions of the teeth. In the following para, we are going to deliberate upon the topic of How to Fix Receding Gums.
Oil Pulling Techniques to Fix Receding Gums:
This is one of the ancient technique which have been practiced in India for keeping our dental health fit and fine. By practicing this techniques, teeth and jaw of our ancestors use to be so strong and healthy that they were able to peel off dried coconuts least the sugar canes. Let us learn the technique of How to Fix Receding Gums. In this technique a mouth full of coconut oil, generally 2-3 tablespoonful is kept in the mouth and teeth and gum part is rinsed by whipping inside. Normally this practice is undertaken in the morning hours just after the tooth brushing. You can read more about it from here.
Use of Eucalyptus Leaves to Fix Receding Gums:
Eucalyptus is known for many of its medicinal properties. They have been often used to treat inflammatory conditions of various body parts and are known for its anti bacterial properties. Fresh and tender Eucalyptus leaves can be chewed and its pulp kept inside mouth soothing the teeth and gums part for few minutes. Alternatively even Eucalyptus oil can be used to massage the teeth. This process should be repeated 2-3 times in a day. This has been proved to be an excellent answer for How to Fix Receding Gums.


[…] for You:How To Fix Receding GumsHow to Relieve Sinus […]